Screening per le anomalie cromosomiche del nascituro? Fondamentale effettuarlo con Medici in possesso della certificazione internazionale rilasciata dalla Fetal Medicine Foundation.
Che cos’è la Fetal Medicine Foundation?

La Fetal Medicine Foundation (FMF) è un ente, con sede a Londra, il cui scopo è migliorare la salute delle donne incinte e dei loro bambini attraverso la ricerca internazionale e la formazione in Medicina Fetale.
Quali garanzie offre un Medico in possesso di una certificazione della FMF?
La pratica della medicina Fetale ha un impatto importante sulle famiglie e sulla società nel suo insieme.
Nonostante ciò, risulta ancora difficile raggiungere un consenso generale riguardo agli standard qualitativi che andrebbero adottati nella sua pratica.
I corsi e i Diplomi della FMF cercano di migliorare le basi della Medicina Fetale e di elevare il livello qualitativo degli standard forniti, creando una rete internazionale di specialisti che si incontrano periodicamente per scambiare esperienze e idee che poi concorrono a fornire le linee guida di questa disciplina.

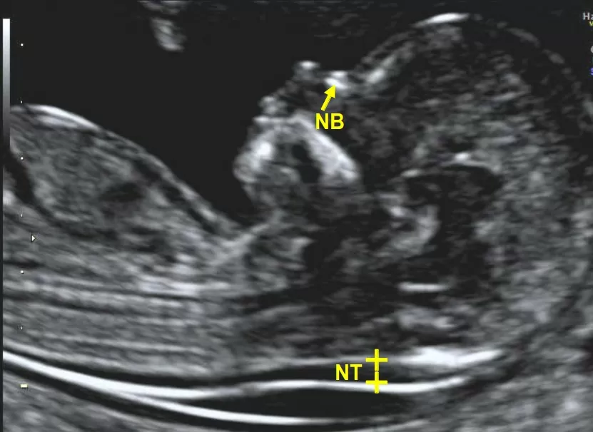
Lo studio della translucenza nucale (NT), in particolare, è stato promosso e diffuso dalla FMF con l’adozione di standard rigorosissimi e di elevata qualità.
Con il supporto di un team internazionale di esperti, la FMF ha introdotto alcuni certificati di competenza per i diversi ambiti della Medicina Fetale, come lo Screening per i difetti cromosomici, conosciuto meglio come Bi-Test o Ultra-Test (Ultra-Screen) che utilizza la misura della NT.
Che cos’è il Bi-Test o Ultra-Test?
L’Ultra-Test è un esame di screening prenatale, non invasivo, che permette di calcolare, con elevata attendibilità, la probabilità che il feto sia portatore di alcune anomalie cromosomiche, come la sindrome di Down (trisomia 21).
Il Test consiste di diversi momenti, tutti egualmente importanti:
- Dosaggio di 2 proteine (β HCG e PAPP-A) nel sangue materno, attraverso un semplice prelievo ematico.
- Misurazione ecografica della Translucenza Nucale
- Calcolo statistico del rischio di anomalie cromosomiche a carico del feto

Che cosa aggiunge la certificazione FMF al comune Ultra-Screen?
La Fetal Medicine Foundation ha introdotto un processo completo di formazione, supporto e audit per attuare correttamente lo screening precoce delle anomalie cromosomiche, attraverso:
- Ecografisti specificamente formati. FMF garantisce un protocollo di misurazione della NT molto dettagliato e una revisione della qualità, per la certificazione, continua.
- Misurazione di β HCG e PAPP-A, liberi nel siero materno, da parte di laboratori certificati per la garanzia di qualità
- Programma di calcolo del rischio che utilizza un algoritmo basato su evidenze scientifiche. Solo gli ecografisti che hanno ottenuto la certificazione FMF per la scansione della NT hanno accesso al SW per lo screening del primo trimestre per le anomalie cromosomiche.
- Adeguata consulenza ai genitori
È importante ricordare, ai fini della consulenza, che il Test non rappresenta una diagnosi, ma esprime il rischio che il bambino presenti un’anomalia cromosomica.
La negatività riduce il rischio, senza annullarlo, mentre la positività non implica che il feto sia portatore del difetto, ma richiede un approfondimento con altre procedure (Ricerca del DNA fetale nel sangue materno/ Campionamento dei villi coriali (CVS)/ Amniocentesi), dopo adeguata consulenza col medico che ha effettuato il Test.
Quali sono le fasi del Test in HTC?
FASE 1
Prelievo ematico alla 11ª settimana, per il dosaggio delle proteine fetali.

FASE 2
Una volta arrivato il referto, alla 12ª settimana, incontro con il medico (con certificazione FMF) per effettuare l’ecografia di misurazione della NT.

FASE 3
Calcolo del rischio, con l’impiego del SW messo a disposizione dalla FMF, e consulenza informativa, da parte dello stesso Medico, riguardo ai risultati ottenuti.

Puoi telefonare allo 0385 246861 e chiedere tutte le informazioni di cui hai bisogno, oppure prenotare direttamente la tua consulenza per lo screening per le anomalie cromosomiche fetali (Ultra-Screen / Bi-Test).
Categoria: News
Commenti : Commenti disabilitati su Screening per i difetti cromosomici del nascituro?
9 Giugno 2022